Coronas dentales Madrid
Las coronas dentales son prótesis dentales que se utilizan para cubrir un diente dañado o debilitado. La corona se coloca sobre el diente natural después de haber sido tallado para que la corona encaje perfectamente. Estos elementos pueden estar hechos de varios materiales, como cerámica, porcelana o metal.
Coronas dentales
¿Qué son las coronas dentales?
Las coronas dentales, llamadas coronas de recubrimiento total sobre diente, son el tratamiento clásico que realizamos en prótesis restauradora. Se basa en hacer un tallado de todo el contorno del diente, lo cual siempre supone un gran sacrificio del tejido dentario.
En Clínica Sanzmar, sin embargo, tratamos de ser lo más conservadores posibles a la hora de realizar este tratamiento: solo quitamos la parte del diente que está afectada y reponemos aquello que falta, por lo que este tratamiento cada vez es más frecuente en nuestra clínica en Madrid.
Lo realizamos especialmente cuando hacemos retratamientos de coronas antiguas, en las que el diente ya está tallado, y también para hacer restauraciones múltiples (los llamados puentes) cuando falta algún diente y no se pueden colocar implantes. En este último caso, la rehabilitación se efectúa con una prótesis fija.

Coronas dentales
Ventajas y desventajas de las coronas dentales
Coronas dentales
Tipos de coronas dentales
01.
Coronas de metal y cerámica
02.
Coronas de zirconio
03.
Coronas de disilicato de litio
Somos calidad
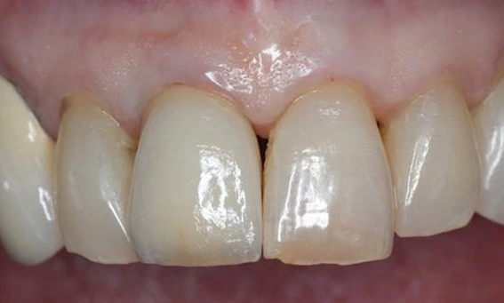
Caso de éxito con corona de metal y cerámica


FAQs
Dudas frecuentes de nuestros pacientes sobre coronas dentales
¿Cuándo necesito una corona dental?
Puedes necesitar una corona dental si tienes un diente debilitado por caries extensa o fracturas, un diente roto o desgastado, un diente con un gran empaste, para cubrir un implante dental, o por razones estéticas para mejorar la apariencia de un diente descolorido o deformado.
¿Qué tipos de coronas dentales existen?
Las coronas pueden estar hechas de varios materiales, incluyendo porcelana, cerámica, resina compuesta, metal (como oro o aleaciones metálicas), o una combinación de porcelana y metal.
¿Cómo se coloca una corona dental?
El proceso generalmente implica dos visitas al dentista. En la primera visita, preparamos el diente eliminando parte del esmalte para hacer espacio para la corona. Tomamos una impresión del diente que enviamos al laboratorio para fabricar la corona. Se coloca una corona temporal mientras se fabrica la definitiva. En la segunda visita, retiramos la corona temporal y se coloca la definitiva.
¿Es doloroso el procedimiento de colocación de una corona dental?
La colocación de una corona dental no debería ser dolorosa ya que se utiliza anestesia local para adormecer el diente y el área circundante. Puede haber sensibilidad después del procedimiento, pero generalmente esta puede ser controlada con analgésicos.
¿Cuál es la diferencia entre una corona dental y una carilla dental?
Una corona cubre todo el diente, proporcionando fuerza y protección, mientras que una carilla solo cubre la superficie frontal del diente y se utiliza principalmente con fines estéticos. Las coronas son más adecuadas para dientes severamente dañados o debilitados.
¿Cómo debo cuidar mi corona dental?
Debes cuidar tu corona dental de la misma manera que cuidas tus dientes naturales: cepillándote al menos dos veces al día, usando hilo dental diariamente y visitando a tu dentista regularmente para chequeos y limpiezas profesionales.
¿Las coronas dentales se ven naturales?
Sí, especialmente las coronas de porcelana y cerámica, que están diseñadas para imitar la apariencia de los dientes naturales en cuanto a color y forma. Tu dentista trabajará contigo para asegurarse de que la corona tenga un aspecto natural y se mezcle bien con tus dientes adyacentes.
¿Cuánto tiempo duran las coronas dentales?
Con el cuidado adecuado, las coronas dentales pueden durar entre 10 y 15 años, o incluso más. La longevidad de una corona depende del material utilizado, la higiene oral del paciente y hábitos como rechinar los dientes o morder objetos duros.
¿Qué problemas pueden surgir con las coronas dentales?
Aunque las coronas dentales son muy duraderas, pueden aflojarse o caerse si el cemento se desintegra. También pueden romperse o desgastarse con el tiempo. La caries puede desarrollarse debajo de la corona si no se mantiene una buena higiene oral. Si experimentas algún problema, es importante consultar a nuestros especialistas.
¿Puedo comer y hablar normalmente con una corona dental?
Sí, una vez que la corona se ha cementado y ha pasado el período de ajuste inicial, deberías poder comer y hablar normalmente. Las coronas están diseñadas para funcionar como un diente natural.
Somos experiencia e innovación
Somos especialistas en odontología avanzada
Experiencia
Más de 25 años nos avalan. Confía en nuestro saber hacer.