Carillas dentales Madrid
Conoce el procedimiento
¿Qué son las carillas dentales?
El tratamiento con carillas está indicado para modificar de forma rápida el tamaño y la forma de los dientes, a la vez que sus diferentes imperfecciones, como corregir el espacio interdental o cualquier malposición, modificar el tono de un diente, reparar defectos de su superficie o restaurar dientes fracturados.
Al optar por las carillas dentales, en Clínica Sanzmar realizamos una preparación lo menos invasiva posible, lo que en muchos casos supone recurrir a una ortodoncia previa para colocar los dientes en una posición ideal. Eso les permite a nuestros especialistas no tener que tocar tu diente, o que la adhesión de la cerámica o el composite (los dos materiales con los que se confeccionan las carillas dentales) se realice sobre el esmalte, aumentando así la duración de la restauración dental.

Diferentes posibilidades
Tipos de carillas dentales
Las carillas dentales pueden ser de dos tipos:
- Las carillas de cerámica. Las carillas de cerámica son una fina capa de porcelana que se adhiere a la superficie del diente para corregir su forma, tamaño o color. Se caracterizan por ser altamente resistentes y duraderas, además de ofrecer un aspecto muy natural al imitar el esmalte dental.
- Las carillas de composite. Las carillas de composite están hechas de un material compuesto de resinas y se aplican directamente sobre el diente. Aunque su aplicación es más sencilla, su durabilidad es menor. Sin embargo, también ofrecen un aspecto natural y se pueden retocar fácilmente si es necesario.
Ampliando conocimiento
Ampliación carillas de cerámica
01.
¿En qué consisten?
02.
Tipos de carillas de cerámica
03.
Ventajas y desventajas
- Máxima estética dental.
- Gran durabilidad, a la vez que mantiene las mismas propiedades a lo largo de su vida: la cerámica es un material que no se deteriora con el tiempo.
- Muy conservadoras con el diente, especialmente respecto a las coronas de recubrimiento total en las que debemos tallar el diente en todo su contorno.
Desventajas:
- Requieren dos citas para colocarlas.
- No permiten reparación.
- Económicamente más caras, porque hay una fase de confección en el laboratorio.
Somos calidad
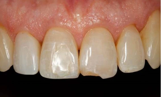
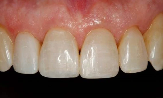
Casos de éxito con carillas de composite


FAQs
Dudas frecuentes de nuestros pacientes sobre carillas
¿Cómo se colocan las carillas dentales?
El proceso de colocación de carillas generalmente implica tres visitas al dentista: consulta inicial, preparación del diente y colocación final. Durante la preparación, se elimina una pequeña cantidad de esmalte dental para hacer espacio para la carilla. Luego, se toma una impresión del diente y se envía al laboratorio para crear la carilla personalizada. En la visita final, la carilla se adhiere al diente con un cemento dental especial.
¿Las carillas dentales son permanentes?
Las carillas dentales son una solución a largo plazo, pero pueden necesitar ser reemplazadas después de varios años debido al desgaste natural. Con el cuidado adecuado, las carillas de porcelana pueden durar entre 10 y 15 años.
¿Cómo debo cuidar mis carillas dentales?
Cuidar las carillas dentales es similar a cuidar los dientes naturales. Debes cepillarte al menos dos veces al día, usar hilo dental diariamente y evitar morder alimentos duros o usar los dientes como herramientas. También es importante realizar revisiones regularmente.
¿Las carillas dentales requieren la eliminación de mucho esmalte dental?
Se requiere eliminar una cantidad mínima de esmalte dental, aproximadamente 0.5mm, para hacer espacio para las carillas. Este proceso es irreversible, por lo que es importante estar seguro de querer el tratamiento antes de proceder.
¿Qué problemas pueden corregir las carillas dentales?
Las carillas pueden corregir una variedad de problemas estéticos, incluyendo dientes descoloridos, desgastados, astillados, rotos, desalineados, con espacios o con formas irregulares.
¿Las carillas dentales se ven naturales?
Sí, las carillas dentales están diseñadas para imitar la apariencia natural de los dientes. La porcelana utilizada en las carillas es translúcida, lo que permite que la luz pase a través de ellas de manera similar a los dientes naturales, proporcionando un aspecto muy natural.
¿Las carillas dentales se manchan?
Las carillas de porcelana son muy resistentes a las manchas, pero las de composite pueden mancharse con el tiempo debido al consumo de café, té, vino tinto y otros alimentos y bebidas colorantes. Mantener una buena higiene oral puede ayudar a minimizar las manchas.
¿Qué puedo esperar después de colocarme las carillas dentales?
Después de que te coloquemos las carillas, es posible que sientas una ligera sensibilidad a alimentos y bebidas calientes o frías, pero esto generalmente desaparece en unos pocos días. Es importante seguir las recomendaciones de nuestros especialistas para cuidar tus carillas y mantener tus dientes sanos.
Somos experiencia e innovación
Somos especialistas en odontología avanzada
Experiencia
Más de 25 años nos avalan. Confía en nuestro saber hacer.
Avanzada, precisa y personalizada. Nuestra huella.
Las personas avanzan. Nuestros tratamientos evolucionan contigo.
A tu lado, junto a ti, para todo lo que necesites.
