estética dental madrid
Clínica experta en estética dental
Odontología estética y restauradora
La odontología estética es la parte de la odontología con la que mejoramos tu sonrisa, guiándonos por el marco de los labios y la cara. Nuestro equipo se encarga de tomar un registro de tu boca mediante escáneres intraorales y equipos de radiodiagnóstico y audiovisuales (fotografía y vídeo). Con ellos somos capaces de diseñarte un tratamiento de restauración dental que, a través de nuestros softwares de diseño, podemos probarlo a priori para valorar su resultado a nivel estético, funcional y fonético.
Si tienes dudas sobre cómo conseguir unos dientes blancos…
Estética dental
Carillas dentales
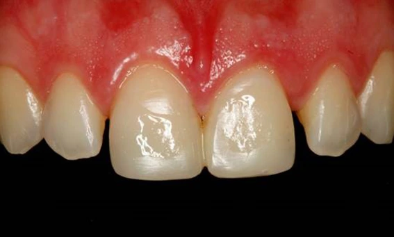
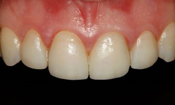
Las carillas dentales son un tratamiento estético dental que se utiliza para corregir imperfecciones en los dientes, como el tamaño, la forma, el espacio interdental, la malposición, el tono, defectos de superficie y dientes fracturados.
En Clínica Sanzmar, el proceso de preparación para las carillas dentales es lo menos invasivo posible, lo que significa que en algunos casos se realiza una ortodoncia previa para posicionar los dientes en la posición ideal antes de aplicar las carillas. Esto permite que los especialistas no tengan que tocar el diente, y la adhesión de la cerámica o el composite se realice sobre el esmalte, aumentando la duración de la restauración dental.
Tipología de carillas
Tipos de carillas dentales
01.
Carillas de cerámica
02.
Carillas de composite
Te presentamos a nuestros especialistas
Especialistas en estética dental en Madrid
Estética dental
Coronas dentales
Las coronas dentales son un tratamiento clásico en prótesis restauradora que consiste en hacer un tallado de todo el contorno del diente. Aunque este proceso puede suponer un gran sacrificio del tejido dentario, en Clínica Sanzmar se trata de ser lo más conservadores posibles. Solo se quita la parte del diente que está afectada y se reemplaza aquello que falta, lo que ha hecho que este tratamiento sea cada vez más frecuente en la clínica de Madrid.
Las coronas dentales se utilizan principalmente para retratamientos de coronas antiguas, en los que el diente ya está tallado, y para hacer restauraciones múltiples cuando falta algún diente y no se pueden colocar implantes. En este último caso, la rehabilitación se efectúa con una prótesis fija para lograr una sonrisa saludable y estética.
Estética dental
Blanqueamiento dental
El blanqueamiento dental es uno de los tratamientos estéticos más solicitados en la Clínica Sanzmar. El objetivo principal es aclarar y modificar el color de los dientes para lograr una sonrisa más blanca y brillante. Para ello, se utiliza un gel peróxido y se aplican férulas blandas que permiten que el gel penetre en el esmalte dental, eliminando manchas y decoloraciones.
Este procedimiento es seguro y efectivo, y los resultados son visibles de inmediato. El blanqueamiento dental es una excelente opción para quienes desean mejorar la apariencia de su sonrisa sin someterse a tratamientos invasivos. Nuestros especialistas están altamente capacitados para realizar el blanqueamiento dental de forma segura y garantizar la satisfacción del paciente.
Estética dental
Diseño de sonrisa
En nuestra clínica de Madrid entendemos que la sonrisa es la carta de presentación de las personas y, por eso, llevamos años diseñando las sonrisas de nuestros pacientes. Nuestro equipo especializado en diseño se encarga de modificar la forma, el tamaño, la posición y el color de tus dientes de manera virtual utilizando programas de ordenador y registros con fotos de tus dientes y rostro.
De esta forma, podrás visualizar el tratamiento antes de decidirte a realizarlo y, en muchos casos, incluso podemos probarlo en boca para que valores si ese diseño de sonrisa es el que te gusta y el que estás buscando. Nos aseguramos de que el diseño de la sonrisa esté en armonía con el conjunto de tu rostro, labios y encías para lograr un resultado natural y estético.
Uso de carillas dentales
Caso de éxito Estética Dental


Somos experiencia e innovación
Somos especialistas en odontología avanzada
Nuestra calidad no tiene límites. Transparentes, humanos y cercanos. Diagnosticamos, personalizamos y comunicamos con sencillez para que nos entiendas y preguntes. Tus dudas son nuestras respuestas y tu confianza, nuestro éxito.
Experiencia
Más de 25 años nos avalan. Confía en nuestro saber hacer.



